Showing
10 -
15
of
15
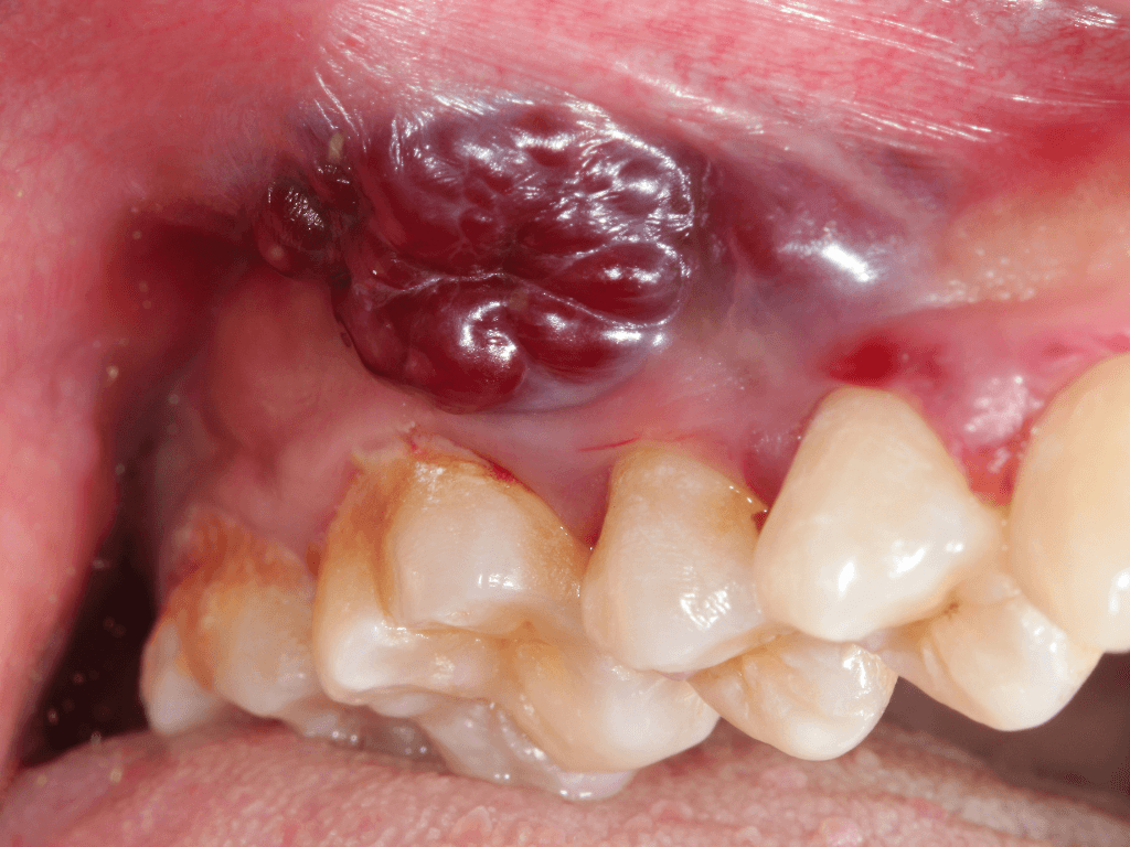
Oral cancer
Oral cancer is a malignant (cancerous) growth that develops in the tissues of the mouth or oralmrs-core
Read MoreBreast cancer
Breast cancer is a malignant (cancerous) growth that develops in the cells of the breast tissue, mostmrs-core
Read MoreBreast tightening
Breast tightening refers to the feeling or condition where the breasts become firm, tense, or tight. Itmrs-core
Read MoreCongenital Deformities
Congenital deformities are structural or functional abnormalities that are present at birth. They occur due to abnormalmrs-core
Read MoreRhinoplasty
What is Nose Surgery (Rhinoplasty)? Nose surgery, or rhinoplasty, is a procedure to reshape or reconstruct themrs-core
Read MoreGynaecomastia
What is Gynecomastia? Gynecomastia is a common condition in men where the chest develops excess breast tissue,mrs-core
Read More